眼科症例 慢性表在性角膜炎(CSK)
院長の岡田です。
本日は、当院の患者様の眼科症例を紹介します。
かかりつけの動物病院で治療されていましたが、治らないとのことで当院に来院されました。
シーズーの8歳の男の子です。
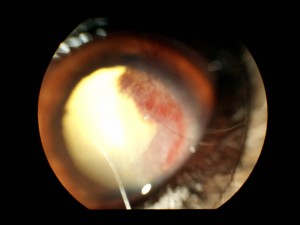
角膜に耳側結膜から無数の血管新生がと肉芽みられます。
診させていただいた結果としましては、「慢性表在性角膜炎」の疑いが強いと思われます。
ステロイド点眼を処方し、1か月半後の経過が下の写真になります。
点眼薬の反応も良好で、血管新生や肉芽もほとんどなくなり、かなりの改善が見られます。
このまま治療を続けていただき、点眼回数を徐々に減らしていく予定です。
・慢性表在性角膜炎(CSK)について
両眼に発症する進行性かつ慢性経過の角膜炎で、血管新生、肉芽形成を特徴とします。
進行すると、最悪失明にも繋がります。
ジャーマンシェパードやグレートハウンドに多いとされていますが、全ての犬種で見かけます。
中年齢以降での発症が多いです。
紫外線や免疫異常が原因と言われています。
・診断
一般眼科検査(スリット検査、涙液量検査、眼圧検査、傷の検査など)を行った上で、総合的に判断します。
・治療
ステロイド点眼が中心になります。
症状の改善具合をみて、点眼回数を減らしていきますが、生涯にわたる点眼治療が必要になります。
眼科診療については、知っているかいないか、検査機器があるかないかでもかなり変わってきます。
今後も当院としましては、目の治療に力をいれていきたいと思っております。
目のことで気になることがありましたら、お気軽にご相談ください。






